
치과전문의가 책임지는 진료
Caring for You and Your Smile
항암환자 치과치료
당뇨, 심혈관 질환, 고혈압 등 전신질환을 가진 환자들도 안심하고 치료받을 수 있도록 맞춤형 치과 치료를 제공합니다.
또한 함암 환자의 전신 건강 상태를 면밀히 고려하여 치료 계획을 수립하고, 내과 협진이 필요한 경우 전문 의료진과의 협력을 통해 안전하고 효과적인 치료를 진행합니다.
실패한 골이식, 임플란트 재수술 전문
부족한 치조골을 안전하게 보강하고, 감염이나 염증 등 기존 문제를 정확히 진단하여 재수술의 성공률을 높입니다. 임플란트 실패 후 불안함을 느끼시는 분들도 신뢰할 수 있는 치료를 받으실 수 있도록 최선을 다하고 있습니다.
스캐너를 이용한 당일 보철 완성 가능
정밀한 구강 스캔을 통해 맞춤 보철물을 당일 제작 및 완성합니다. 복잡한 인상채득 없이 빠르고 정확한 진료가 가능하며, 환자의 시간과 불편을 최소화합니다.
치아를 살리는 보존과
최신 보존 치료 기술로 자연 치아를 최대한 살립니다. 최소 침습 치료를 통해 환자의 불편을 줄이고 건강한 치아를 오래 유지할 수 있도록 도와드립니다.

두려움을 덜고, 편안함을 더하다.
우리삼성치과는 단순히 치료를 넘어서, 건강한 구강 상태를 유지할 수 있도록 예방 중심의 진료에도 힘쓰고 있으며, 항상 친절한 응대와 쾌적한 진료 환경으로 방문하시는 모든 분들이 만족하실 수 있도록 최선을 다하겠습니다.
-
환자 중심의 맞춤 진료
환자 중심의 서비스를 바탕으로, 모든 분들께 편안하고 신뢰할 수 있는 치과 치료를 제공하고자 노력합니다.
-
첨단 장비와 정밀 진단
최신 디지털 장비와 체계적인 진단 시스템을 통해 정확하고 안전한 진료를 약속드립니다.
-
불안을 낮추는 충분한 상담
치료 전 충분한 상담을 통해 불안감을 줄이고, 환자 한 분 한 분의 상황에 맞춘 맞춤형 치료 계획을 세워드립니다.
일원역 접근성(분)
전문 의료진
월 임플란트 식립
월 평균 내원환자
Services
풍부한 경험과 최신 장비를 바탕으로, 전문의 협진을 통해 치과의 모든 영역을 아우르는 맞춤형 진료를 제공합니다.
Departments
우리삼성치과의 진료과목입니다.
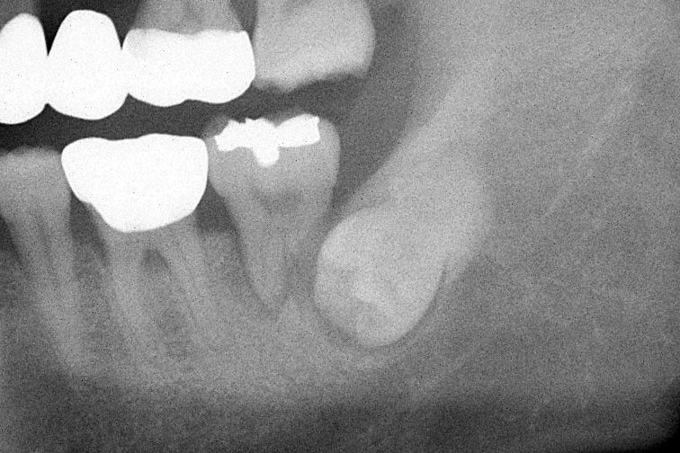
고난이도 임플란트
치조골이 손상되어 어렵고 힘든 임플란트 수술도 우리삼성치과에 맡기십시요.
임플란트 수술은 단순히 나무에 못을 박는 것과 같은 단순한 작업이 아닙니다. 사람의 몸에 인공물을 이식하는 치료이기 때문에 수술중 예상하지 못한 다양한 상황이 발생할 수 있습니다. 따라서 풍부한 경험의 치과전문의에게 치료를 받는 것이 바람직합니다.
또한 임플란트 치료는 수술 뿐 아니라 유지 관리가 매우 중요합니다. 수술해준 의사가 중간에 바뀐다면 의사 입장에서도 수술시 상황을 정확히 모르기 때문에 적절한 유지 관리가 어려울 수 있습니다. 환자 입장에서도 의사가 자주 바뀐다면 치과에 대한 신뢰가 떨어질 것입니다. 따라서 대표원장이 직접 수술하고 관리하는 치과를 선택하는 것이 좋습니다.

치아교정
우리삼성치과은 담당 의사가 바뀌는 일 없이, 교정 치료 전반을 원장이 책임지고 진료합니다. 외과적인 처치가 동반되어야 하는 어려운 케이스에서도 다른 병원에 의뢰가지 않고, 본 병원의 협진 체계에서 편하게 진료 받으실 수 있습니다.
치아 교정 치료는 기능성과 심미성이 적절한 조화가 이루어져야만 성공적인 치아 교정이라 할 수 있습니다.그렇기에 실력있는 의료진이 축적된 노하우와 기술로 부작용을 최소화하여 환자가 원하는 이상적인 치료 결과를 만들어 내야 합니다.
개인마다 식습관, 치아의 배열, 얼굴의 형태, 라이프스타일 등 전부 다 각기 다르므로 이 모든 항목들을 꼼꼼하게 체크한 후 개개인에게 맞는 맞춤 진단이 필요합니다.

충치치료
과잉 진료 걱정 없는 우리삼성치과에서 믿고 충치치료를 받아보세요.
한번 손상된 치아는 자연적으로 회복되지 않기 때문에 초기에 치료를 받는 것이 중요합니다. 충치를 방치하여 적절한 치료 시기를 놓칠 경우 자연 치아를 상실하는 상황까지 발생할 수 있으니 정기적인 검진을 통해 빠른 치료를 받는 것이 좋습니다.

턱관절질환치료
턱에서 소리가 나거나, 입이 갑자기 벌어지지 않는다면 턱관절 질환입니다.
어느날 갑자기 귀 앞이 아프고 입을 벌리기 힘들거나, 턱에서 소리가 나면서 통증이 있다는 것은 턱관절 질환을 의심할 만 합니다. 환자들은 발목을 다치거나 허리를 다치는 것은 일상에서 종종 겪어서 어떻게 대처해야 하는지 어떤 병원을 찾아가야 하는지 잘 알고 있지만, 턱관절 질환의 증상은 사람들이 일반적으로 겪는 증상이 아니기 때문에 당황하고 임의로 조작을 하다가 증상을 악화시키거나 치료시기를 놓치는 경우가 종종 있습니다. 턱관절 질환의 초기에는 물리치료 및 약물치료, 올바른 주의 사항을 지키는 것 만으로도 대부분 좋아집니다. 그러나 치료 시기를 놓치거나 중증의 턱관절 질환에서는 장치 치료가 필요할 수도 있습니다.

사랑니 발치
사랑니 주변에는 위험한 구조물들이 근접해 있습니다.
사랑니가 맹출하면서 불편감을 느끼거나 인접 치아에 손상을 줄 가능성이 높은 경우에는 발치를 고려해야 합니다. 그러나 사랑니 주변에는 하치조신경이나 상악동과 같은 손상되면 합병증이 발생하는 해부학적 구조물이 존재하기 때문에 수술전 정확한 진단이 필요합니다.
이처럼 사랑니 발치는 치과 소수술이기 때문에 구강외과전문의에게 진료를 받으시는 것이 수술 후 합병증 발생을 최소하하는 방법입니다.

Doctors
우리삼성치과는 보건복지부 인증 국가전문의가 진료합니다.

김도균
대표원장구강악안면외과 전문의

문형인
대표원장치과보존과 전문의

홍현실
부원장치과교정과 전문의
자주 묻는 질문
환자분들께서 주로 궁금해하시는 질문들입니다.
충치 치료는 어떻게 해야 하나요?
구강내 생기는 질병 중 가장 흔한 증상인 충치는 국민의 약 80% 이상이 한번 정도는 경험하는 질병이며 한 사람이 평균 2~3개의 충치를 갖고 있습니다. 깊지 않은 충치의 경우 레진이나 인레이 같은 비교적 간단한 시술로 치료할 수 있지만, 충치가 신경까지 도달한 상태라면 치료 기간이 길어지고 비용 또한 높아집니다. 따라서 정기적인 구강 검진을 통해서 문제점을 발견하고 치료를 받는 것이 중요합니다.
레진치료 - 충치가 있는 곳을 제거한 후, 치과용 레진으로 섬세하게 메꿔 줍니다.
인레이치료 - 충치가 있는 곳을 제거한 후, 충치 부위에 맞춤 제작된 인레이 보철물을 의료용 접착제로 부착합니다.
크라운치료 - 신경 치료 후,치아의 본을 떠 제작한 보철물로 치아 전체를 덮어 씌워 줍니다.
사랑니 발치를 하고 싶어요. 과정이 어떻게 되나요?
사랑니 발치는 환자분의 사랑니 매복 상태를 확인해야 합니다. 타 병원에서 이미 x-ray를 촬영한 경우에는 카카오톡으로 올려주시면 원장님께서 확인하는 대로 발치가 가능한지 답을 주실 것입니다. x-ray가 없다면 일단 내원하셔야 정확한 상담이 가능합니다.가락삼성치과에서는 구강외과 국가전문의가 진료하고 있으며 대부분의 사랑니 발치는 가능합니다.
단, 사랑니가 신경을 손상시킬 가능성이 높은 경우, 환자분께서 불필요한 위험성을 감수할 필요가 없기 때문에 이런 경우에만 대학병원의 정밀검사를 권유하고 있습니다. 당일 빌치 가능 여부는 방문전 미리 전화로 확인하시는 것이 좋습니다. 진료비는 건강보험이 적용되어 대략 4-5만원 이내로 생각하시면 되고, 수술 시간은 30분정도, 수술 후 2-3회 소독을 위한 내원을 권합니다.
임플란트 치료를 받고 싶어요. 이 병원의 특징은?
치과 임플란트는 대중화되어 마치 임플란트라는 상품을 구입하는 것처럼 되어 버렸습니다. 그러나 원장의 오랜 진료 경험으로 느낀 것은 임플란트 치료에서 가장 중요한 것은 임플란트의 브랜드가 아닌 술자의 경험이라는 것입니다. 수술시 환자의 구강 상태는 항상 다르기 때문에 수술 부위를 눈으로 확인하고 개별 상황에 맞게 경험적으로 최선의 수술을 하는 것이 가장 중요합니다. 따라서 소위 네비게이션 임플란트라는 것이 절개 하지 않고 정확한 최고의 임플란트 치료 방법인 것처럼 광고하지만 저희는 동의하지 않습니다.
저희는 삼성서울병원에서 근무한 이력부터 20년 경력의 경험을 토대로 고집스럽지만 전통적이고 검증된 방법으로 진료하고 있습니다. '무절개', '무통' 같은 환자를 현혹하는 광고보다는 적절한 절개를 통해 눈으로 골질을 파악하고 불규칙한 골면에서 최선의 위치를 수술시 판단하는 것이 올바른 치료법이라고 생각하고 이것이 본원의 특징입니다.
턱관절이 아파요. 치료는 어떻게 하나요?
현대인은 다양한 스트레스로 이갈이나 이악물기 등의 구강 악습관 유병률이 매우 높습니다. 그로 인해 턱관절 질환의 유병률도 높아지고 있는 것 같습니다. 턱관절의 통증 및 개구 제한으로 본원에 내원하시면 정확한 방사선 검사와 임상검사를 통해 진단을 하고 대부분은 약물치료와 물리치료로 간단히 치료를 유도합니다. 그러나 증상의 정도가 중하고 악습관으로 인한 피해가 확실하다면 스프린트 치료가 필요한 경우도 종종 있습니다.
Orthodontic Cases
우리삼성치과의 치료 전후 케이스
Contact
우리삼성치과은 지하철 3호선 일원역 2번출구 삼성생명빌딩에 위치하고 있습니다.
Location
서울특별시 강남구 일원로 115 삼성생명빌딩 C동 2층
Call Us
02-2226-7528
Parking
삼성생명빌딩 주차장 주차지원
진료시간
월-금 | 09:30-18:30 |
---|---|
수(야간) | 09:30-20:30 |
토 | 09:00-14:00 |
점심시간 13:00-14:00
토요일은 점심시간 없음